¿NECESITA AYUDA?
¿NECESITA AYUDA?
×
SEDES:
NAVARRA
+34 948 255 400
MADRID
+34 91 353 19 20
NAVARRA
×
MADRID
×
QUIÉNES SOMOS
¿ERES PERIODISTA? CONTÁCTANOS
×
Borrar
Somos
Medicina
Somos
Enfermería
Somos
Pacientes
Somos
Residentes
Somos
Innovación
Somos
CUN
Somos
Actualidad
Noticias
Tribunas de Opinión
En los Medios
Revista Noticias.CUN
Revista RCUN
Memorias corporativas
Agenda
Somos
Multimedia
CUN Healthy Forum
Vídeos
Infografías
Pódcasts
Ciencia y docencia
Comienza un nuevo curso con rotaciones para los alumnos de 3º de Medicina en las dos sedes de la Clínica.
REVISTA NOTICIAS.CUN Nº 122
(octubre-diciembre 2022)
Editorial
La vocación académica
Ginecología
Smartphones para detectar el cáncer de cérvix
Curso académico 2022/23
Comienza el nuevo curso en la Universidad de Navarra
Comisión de Docencia
Dr. Álvaro González: "El reto más importante es desarrollar un plan de formación de residentes en Madrid"
Oncología
Éxito en el tratamiento con virus oncolíticos
Encuentro
Simposio internacional sobre inmunoterapia
Inmunoterapia
Cómo predecir la eficacia de la terapia CART
Oncología
¿Qué está pasando con el cáncer de cérvix?
Covid-19
La mejor protección: pasar el Covid-19 y haberse vacunado
Opinión.CUN
El papel de la Microbiología en la pandemia y más allá
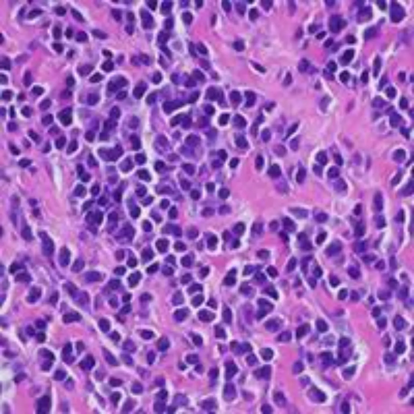
Hematología
Mieloma múltiple: diagnosticar con mayor precisión y seguridad
III Foro Mujer y Liderazgo
Las aptitudes innatas a la mujer favorecen el liderazgo en el mundo actual
Al Alimón
"Sueña y te quedarás corto"
Niños contra el Cáncer
Niños contra el Cáncer recauda casi 20.000 euros en su Torneo de Golf
Reconocimiento
La Dra. María Die Trill recibe la máxima distinción internacional de la Psicooncología
Acreditación
La Dra. Ana Patiño, acreditada por el Comité Europeo de Genética Médica
Historias de la Clínica
"Los ensayos clínicos son una esperanza para mucha gente"
Asociaciones
Teresa Regueiro: "Comprendí muy pronto que los pacientes con mieloma múltiple eran unos grandes desconocidos"
Opinión
Evolución de la enfermería en el ámbito universitario a nivel nacional